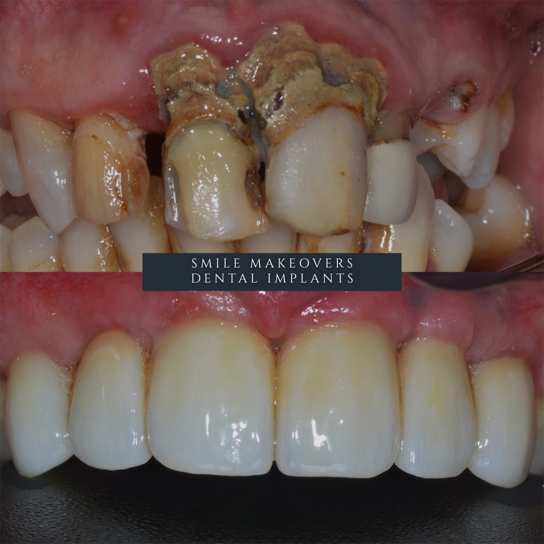
If you’re avoiding your favourite foods, struggling with loose dentures, or hiding your smile in photos — it’s time for a change.
Full Arch Dental Implants restore far more than just your teeth.
They bring back the freedom to eat what you love, the confidence to smile without hesitation, and the stability that dentures simply can’t offer.
At Infinity Dental, we use the world’s most trusted dental implant system – placed by the UK’s No.1 Straumann implant surgeon – to deliver life-changing results that look and feel completely natural.

From your very first consultation to the moment you see your new smile for the first time — everything is designed around comfort, clarity, and calm. Here’s what the process looks like.
✓ Step 01: Personalised Consultation
We take time to understand your goals, assess your dental health, and answer every question — with no pressure.
✓ Step 02: Dental Assessment & Treatment Planning
We use advanced digital scans to plan your treatment with precision, ensuring the best possible results.
✓ Step 03: Implant Placement
Your implants are placed with dental sedation available to keep you completely relaxed throughout.
✓ Step 04: Healing & Check-Ins
You’ll have time to heal with check-ins to monitor progress. Temporary teeth are provided so you’re never without a smile.
✓ Step 05: Final Smile Fitting
Once healed, your bespoke final smile is fitted – crafted to feel natural, function beautifully, and last for years to come.

If the thought of dental treatment makes you nervous – you’re in safe hands. Many of our patients once felt the same. Whether you’ve had a bad experience in the past, or simply feel overwhelmed by the idea of implants, we’re here to help you feel safe, calm, and completely supported.
We offer IV dental sedation, a gentle, medically administered solution that helps you feel deeply relaxed — as if drifting through the treatment in a dream-like state.
-
You remain conscious but fully at ease
-
Most patients remember very little, if anything at all
-
Your safety and comfort are monitored throughout
-
Ideal for nervous patients or complex treatments
From start to finish, our team is here to guide you with kindness, patience, and care – never judgement.

Thousands of Changed Lives.
Located just minutes from Leeds city centre, our state-of-the-art dental clinic offers a full range of general and advanced treatments, including dental implants, cosmetic dentistry, and same-day smile makeovers. With on-site parking and a calm, modern environment, Infinity Dental Clinic in Leeds is designed around your comfort and care.

Our Harrogate Dental Suite delivers the same premium care in a beautifully private setting. Nestled in the heart of Harrogate, this location offers discreet, one-to-one appointments in a relaxed and luxurious environment — ideal for those seeking dental implants or bespoke cosmetic treatments in total comfort.

-
We can use Dental Implants to replace one or several adjacent missing teeth. Larger gaps created by two, three or more missing teeth do not necessarily need an individual implant for each tooth. We can fit three or four teeth on a bridge supported by two Dental Implants. The exact number of Dental Implants required will depend on the results of your consultation with our implant team. We can even replace a full arch with Same Day Dental Implants: All-on-Four or All-on-Six.
Read our blog on how we can replace 2 teeth with 1 dental implant by clicking this link.
-
Most adults with good general health will be suitable for Dental Implant treatment. Your Implant consultation will include a medical history, thorough clinical examination, photographs, a digital intra-oral scan and x-rays. We will also take a digital CT scan of your mouth for anatomical assessment using our in house CBCT scanner.
Following your assessment, our implant team will calculate the optimum size and position of your Dental Implant. If this demonstrates that the underlying bone is deficient, a simple bone regeneration procedure will be provided alongside your treatment.
We understand that all cases are different, so if you have any questions please contact our treatment coordinator for a complimentary consultation.
-
In most cases this is a routine procedure carried out alongside Dental Implant placement. It involves simply adding bone graft material around the implant, to ‘bulk out’ the underlying bone. This repairs any bone damage caused due to previous infection, gum disease, trauma or extraction. We use Geistlich, the world’s leading bioactive bone graft materials which improve your bone quality and density, allowing for better ‘attachment’ of your dental implant to your bone.
-
At Infinity Dental Clinic we understand that your time is valuable, and so we aim to complete it in as timely manner as possible. Dental implant treatment on average will take 3 months to complete.
We also understand that no one wants to spend time with a ‘gap’ or missing teeth, therefore, we are able to provide immediate tooth replacement solutions from day one.
-
Dental Implant treatment is carried out under local anaesthesia and so we will ensure that you will not be able to feel any pain throughout the appointment. There are no nerves, unlike when treating teeth, and so many patients find it a lot more comfortable than other dental treatments. If patients are worried about the procedure then it can also be carried out under sedation. We will be supporting you every step of the way to minimise any disruption to your life during the treatment period.
-
Dental Implants will look and feel very much like a natural tooth. You should clean them in the same way as you clean your own natural teeth, our hygienist will demonstrate this to you.
Regular dental check-ups are important to ensure that we can keep your teeth and implants healthy.
-
Well-maintained Dental Implants can be expected to last for many years and, in most cases, a lifetime. 97% are still there after 20 years.
-
Here at Infinity Dental Clinic we work hard to find a solution that meets all our patients expectations on desired outcome both clinically and financially. We will supply you with all relevant treatment options and the associated fees involved, allowing you to make the right decision for yourself regarding your dental care. For guidance on fees, please use this link to our fee and finance page.
We will provide you with a bespoke dental report. This will consist of an overview of your current dental condition and all of the treatment options available. We understand that this is a big decision and that is why we want to give you the time to consider the information. Our team will be available to answer all of your questions.
We also offer a range of finance options which can be discussed with our experienced treatment coordinators to help you spread the investment in a manageable way.





