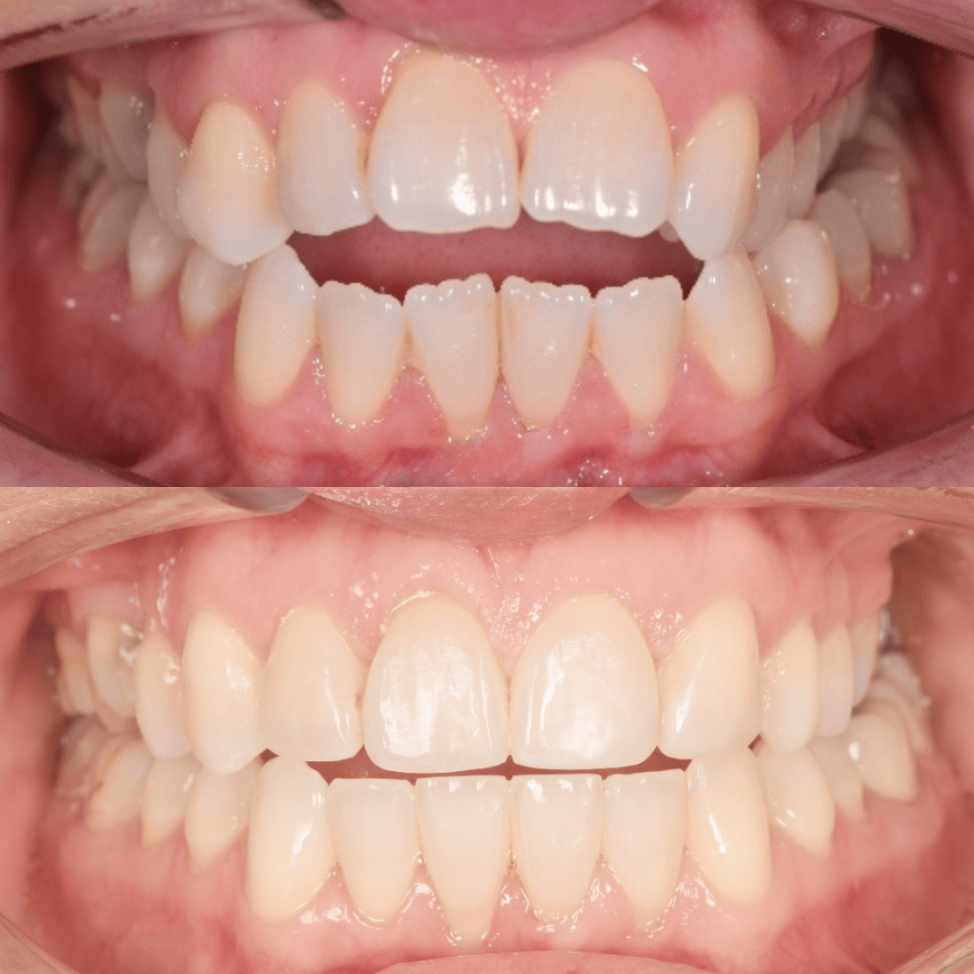
Discreet. Removable. Designed for your life. There’s something powerful about smiling with confidence — and Invisalign® makes that journey feel effortless.
At Infinity Dental, we offer a modern and refined alternative to fixed braces. Our custom-designed, removable clear aligners are virtually invisible, giving you the freedom to straighten your teeth without disrupting your lifestyle. Eat the food you love, brush and floss as normal, and enjoy every part of your day — all while your smile gently transforms.

It starts with a conversation.
Whether you’re concerned about gaps, crowding, or how your teeth sit when you smile, we’ll take the time to understand exactly what’s bothering you — and what outcome you’re hoping for.
From there, we’ll guide you through your options, including Invisalign® clear aligners, and create a personalised plan tailored around your goals.
Many patients also choose to enhance their results with cosmetic treatments like whitening or bonding — and we’re here to help you explore those possibilities too.
Full control. Complete confidence.
At Infinity Dental, your Invisalign® journey begins with a state-of-the-art digital scan — no messy impressions, no discomfort. In just a few minutes, we capture a highly accurate 3D model of your teeth using the latest scanning technology.
This scan is used to generate a fully interactive simulation of your future smile. You’ll be able to see exactly how your teeth will move throughout the process, and what your final result could look like – all before treatment even begins.
Best of all, you’re in complete control.



