When this patient first came to see us for his initial consultation, he had only just come from a difficult appointment with his dentist.
The week before, he had been told that many of his teeth were loose. His dentist explained that dentures might soon be the best option.
For him, that was not what he wanted to hear.
INFINITY DENTAL BLOG
A Situation That Was Getting Harder to Manage
He explained that his lower teeth were particularly loose, much more so than the upper ones. In fact, he already had a lower denture, and it hadn’t made life any easier. Eating was becoming more difficult, and chewing certain foods was a real struggle.On the upper jaw, he had a dental bridge. However, he wasn’t sure how healthy the teeth underneath the bridge were. It had been there for some time, and he suspected the supporting teeth might not be in great shape either.
At that point, he admitted he hadn’t done much research yet. The news from the dentist had come as a bit of a shock, and he was still trying to understand what his options might be.
One thing he did know was that he wanted to avoid traditional dentures if possible.
INFINITY DENTAL BLOG
Curious About Dental Implants
During our conversation, he mentioned that he had seen implants before and wondered if something like that might work for him.As a retired engineer, he was naturally interested in how things function and hold up over time. He asked thoughtful questions and wanted to understand the mechanics behind implant solutions and how they could offer more stability than removable dentures.
But there was another reason he felt motivated to find a long-term solution.
A Very Important Trip
He shared that he had a wedding to attend in Canada in August 2026.More importantly, he would be seeing his daughter and being able to see her with a confident smile meant a great deal to him.
That moment became the turning point. It pushed him to start thinking seriously about fixing his teeth properly, rather than continuing to manage loose teeth and dentures.
INFINITY DENTAL BLOG
Moving Forward With Treatment
After reviewing his situation and discussing the options, the plan was made to replace his failing teeth with a fully fixed implant solution on both the upper and lower jaws.This would give him the stability he was looking for and remove the need for removable dentures.
The goal was simple: restore his ability to eat comfortably and give him a smile he felt proud to show.
INFINITY DENTAL BLOG
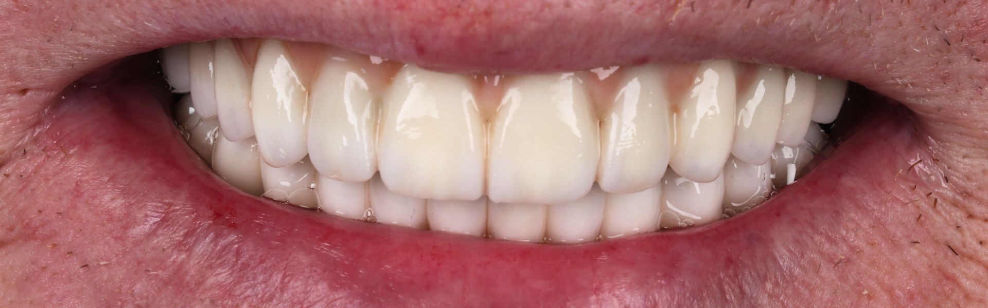
The Final Result
This week, his treatment was completed.When his new smile was fitted, the moment was emotional. As he looked at the result, he began to well up. After months of worry and years of struggling with his teeth, he could finally see the difference.
His new smile looked natural and authentic, closely reflecting how his smile used to look and how he wanted others to see him.
For him, it meant more than just new teeth. It meant feeling confident again.
INFINITY DENTAL BLOG
A Ticket to Canada
Not long after finishing treatment, he booked his plane ticket.Next month he will travel to Canada to see his daughter, and for the first time in a long time, he’ll be doing it with a smile he feels proud of.
Stories like this remind us that dentistry is not only about restoring teeth. Sometimes it is about restoring confidence, reconnecting with family, and helping someone feel ready for one of the most meaningful moments in their life.
And for this patient, that moment is just around the corner.
Thank you for reading,
Dr Mohsin Patel
Dr Mohsin Patel has extensive experience in the field of oral surgery, in particular Dental Implants. He is the UK’s leading Straumann Implant provider, so you can be assured that you are in safe hands.
Related articles...
Book a Consultation
At Infinity Dental Clinic we see patients for routine dental check-ups with our dentists. Regular dental maintenance and good oral hygiene will ensure that you keep your teeth and gums healthy.
Book a Consultation





