This week, we wrapped up a case that reminded us exactly why we do what we do.
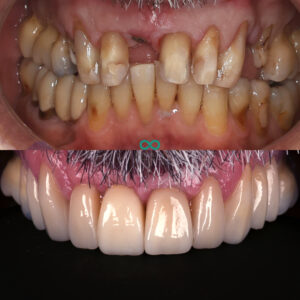
Our patient came to us after a dental emergency on holiday: one of his old veneers, fitted over 20 years ago, came off. Out of options, he tried to stick it back on himself. It didn’t work! Eating became difficult. More than that, he started feeling embarrassed and unsure—afraid that other teeth might follow, unsure whether things were fixable.
He hadn’t seen a dentist in years, and he knew it was time.
When he arrived, he wasn’t just looking to have one veneer replaced. He was looking for reassurance. For a plan. For someone to take stock of what was going on and help him feel confident again. He knew some of his old restorations were probably failing. He also knew there were deeper issues—teeth that likely couldn’t be saved, gaps that might need dental implants. And although that can be daunting to hear, he was ready.
He wanted a fresh start and he wanted his smile back.
So, together with Dr. Hannah Wilson, we put together a full plan. No quick fixes—just thoughtful, considered steps toward giving him back what he’d lost, and then some. To eat without worry. To speak without hesitation. To smile without thinking.
Over the course of multiple appointments—he stayed committed. We rebuilt his smile using a combination of:
- Dental implants to replace teeth that could no longer be saved
- New veneers to refresh his front teeth with natural aesthetics
- Composite bonding to refine and enhance details
- Crowns to strengthen key teeth and bring everything into balance
And now? The transformation is incredible. His smile is brighter, stronger, and completely natural.
The change has been huge—not just in his smile, but in the way he carries himself. He looks younger. His face is more relaxed. He’s smiling fully, naturally—without having to think about it.
This isn’t just about teeth. It never is. It’s about confidence, self-image, connection. It’s about feeling good in your own skin again.
We’re incredibly proud of the result, but even more so, we’re happy for him. Seeing someone come back to life in their own smile is something we never take for granted.
That’s the power of dentistry when it’s done right. And honestly, we couldn’t be happier for him
Thank you for reading,
Dr Mohsin Patel
Related articles...
Book a Consultation
At Infinity Dental Clinic we see patients for routine dental check-ups with our dentists. Regular dental maintenance and good oral hygiene will ensure that you keep your teeth and gums healthy.
Book a Consultation


