I have found that one of the biggest concerns for patients is the thought of having no teeth – even if it is just for the duration of their treatment plan.
When providing patients with treatment to have a full arch of replacement teeth (with dental implants), the whole process can often take aproximately 6 months to complete. This is because the biological processes that are involved in these treatments can not be sped up, it takes time to provide a long lasting solution that will work for the patient. 6 months is a long time for many people to wait and at our clinic we provide immediate ‘temporary’ teeth from day one to ensure that our patients can still continue to live a comfortable life during those 6 months whilst they wait for their final smile.
In cases when patients are having a full mouth of replacement teeth, it is important for us to provide a very good set of temporary teeth. These temporary teeth must be functional and look good for the patient too. The best way to do that is to provide a form of fixed temporary teeth that look and function in a very similar way to the final implant supported zirconia teeth. This week we completed yet another same day full arch case for a patient and it was, as always, truly life changing once again!
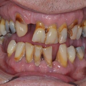
This patient attended our clinic having held on to his failing teeth for much longer than he wanted to. His teeth were severely infected and loose. He became accustomed to toothache and learned to develop a very high pain threshold. I think he probably held on to his teeth at least 5 years longer than he should have but he had a very good reason for this. He could not comprehend life with a denture. He had immense anxiety at the thought of having to wear a denture after having any teeth removed. His reluctance to accept wearing a denture meant that he held on to his failing and infected teeth for as long as he possibly could – despite all of the issues he continued to have with these teeth.


This patient travelled to our clinic from Wigan as he was aware of our ability to provide a different approach to his treatment so that he would not have to wear a denture at all. We meticulously planned his treatment to provide an approach that would mean that he would have all of his failing teeth removed and then replaced with dental implants on the same day. He would also be provided with fixed temporary teeth that would be screwed into his implants also on that same day. In effect, he would walk out of the clinic with a fully transformed fixed smile that he could start chewing and smiling with on the same day! After this day of advanced dental treatment, we wait approximately 3-6 months to ensure the gums and mouth have fully settled and healed prior to replacing those ‘temporary’ teeth with the final permanent teeth. The only difference between the 2 is that the final teeth are stronger and look even more aesthetic than the so called ‘temporary’ set that are fitted on day 1.
This patient arrived at our clinic at 9am and left to drive back to Wigan at 4pm with a life changing smile…..what a dream result for him! He doesn’t need to worry about ever being without teeth or having to hold onto painful and infected teeth ever again!
Thank you for reading
Mohsin Patel
Related articles...
Book a Consultation
At Infinity Dental Clinic we see patients for routine dental check-ups with our dentists. Regular dental maintenance and good oral hygiene will ensure that you keep your teeth and gums healthy.
Book a Consultation

