Fear free visits to the dentist…

Posted on 18th May 2024

As I reflect on another busy week of providing our patients with Dental Sedation, I realise how important it is that sedation is available as an option to help so many patients overcome their dental anxiety.

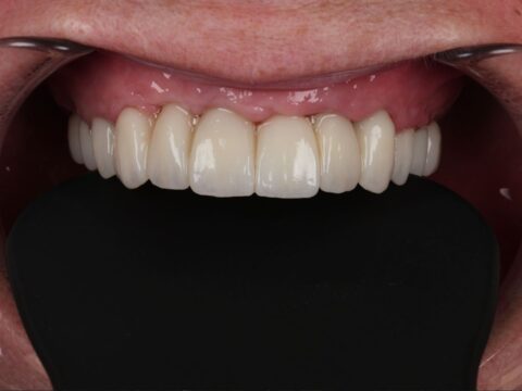
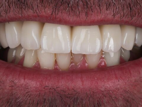
This week alone I have seen such a range of patients, for all different types of dental treatment, with differing fears and anxieties. We have helped younger patients who have been ‘put off’ after past bad experiences. We have seen older patients who haven’t attended a dentist for 30+ years. We have had patients who struggle with general anxiety and just need a little bit of help to allow them to undergo the dental treatment they need. The treatment ranged from full ‘Same Day Teeth’ to extractions and fillings. What was the same regardless of the demographic, was the feeling of pride when they managed to complete their dental care. We even managed to have plenty of laughs along the way…

Why have dental sedation?

  • Anxiety about dental treatment: Whether suffering general dental anxiety or if you have a particular dental phobia, sedation can help you relax and reduce anxiety
  • Time passes quicker: It has amnesic properties, which means time goes quickly and you are likely to forget the majority of your appointment. This is particularly helpful for longer or more complicated dental procedures
  • Strong gag reflex: Even the thought of dental treatment can start some patients gagging, if this is you and you are worried about how you will manage, consider sedation to help alleviate your gag reflex
  • Fewer dental appointments: Often patients that need a lot of dental treatment chose to have sedation as it allows more dental treatment to be completed in one appointment
  • Pain management: If you are worried about your teeth being sensitive, the relaxing properties of the sedation often allow for a more comfortable appointment

What is dental sedation?

  • Dental sedation involves the use of a sedative drug to relieve fear and anxiety when undergoing dental treatment. It has revolutionised dental care, making it accessible to patients who otherwise would have been too nervous to attend.

Why I love sedation

Dental phobia is so common throughout the UK population, it is very upsetting to see people who have not felt able to attend a Dentist in many years. I feel so proud of our patients once they have been able to compete their dental treatments and achieve their dream smile. I love seeing them leave with a smile on their face! I am aware of the emotion that is invested into overcoming such a phobia, so embarking on this journey with my patients means I often feel like I am going on it with them and am so delighted for them when we finish.

I am always aiming to provide my patients with a positive experience at our clinic. My ultimate goal is to alleviate their fears and anxieties, so they feel they can undergo future treatment without the need for sedation at all!

Please get in touch if you feel dental sedation would allow you to undergo the dental care you need.

Thank you for reading,

Hannah Wilson BDS PgDipConSed RCS Eng

Related articles...

Book a Consultation

At Infinity Dental Clinic we see patients for routine dental check-ups with our dentists. Regular dental maintenance and good oral hygiene will ensure that you keep your teeth and gums healthy.

Book a Consultation