I completed this case last week for a patient who was referred to me by her regular dentist because her 7 unit dental bridge was failing after 8 years. This was a bridge that was provided to her approximately 8 years ago as a last attempt to replace what was then 4 missing teeth by providing a bridge that used 3 of her existing teeth for support.
Bridges such as this were a good option previously when replacing multiple missing teeth as it avoided the need to wear a removable denture – the thing most people would do anything to avoid!
However, these bridges did place a lot of stress on the supporting teeth. Over a period of time this can lead to deterioration of the supporting teeth and ultimately loss of those teeth due to this. That is often what happens and this is the single most important reason why the dental implants were founded and introduced so widely within the dental profession. Dental implants provide a way to replace missing teeth permanently without damaging any of the patient’s own teeth!
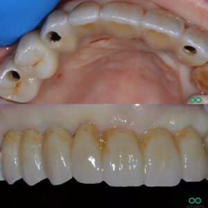
In this case, the patient was now left with 7 missing teeth to replace because her existing bridge had also caused her remaining 3 teeth to fail throughout those 8 years.
We provided the patient with a plan to have a bone and gum graft to improve the gum contours and strength of the supporting bone. We also planned to place 3 dental implants to strategically provide the optimum support for 7 teeth. The treatment was also planned to sculpt the ‘newly formed’ gum into natural gum contours so that her ‘bridged teeth’ along with her ‘implant teeth’ would all look like individual teeth. That is the most important part of this treatment for me, to ensure it looks and feels as natural as the patient’s own teeth. In cases like this it is often possible to avoid using artificial pink procelain because we can carefully grow the patient’s own gum and provide a much more natural union between tooth and gum. For those who know me well you will know how much of a passion this is of mine.
We took great care to provide the patient with ‘artifical tooth stains and wear’ to ensure these teeth matched her own teeth in the most perfect way possible. The patient was given the option to alternatively whiten all of her own teeth and make everything whiter however, she preferred the natural look, the look she had become more accustomed to over the years and the look she felt fitted her personality better. I am very proud that our team are able to match these expectations from our patients and provide them with the most bespoke set restorations for their mouth and smiles!
Thank you for reading,
Mohsin Patel
Related articles...
Book a Consultation
At Infinity Dental Clinic we see patients for routine dental check-ups with our dentists. Regular dental maintenance and good oral hygiene will ensure that you keep your teeth and gums healthy.
Book a Consultation




