We have many patients attend our clinic with problems from dental implants that have been placed elsewhere. We do everything we can to help these patients but it is always a compromise when dealing with a case of previously failed treatment. Prevention is so much better and getting it right from the outset can save these patients a huge amount of problems in the future.
I have noticed a key pattern amongst those implants that are prone to problems. The positioning of the implant is not central. It is not within the bone noundary of that part of the patient’s jaw. It is not at a parallel angle when compared to the teeth either side of the implant. A lot of these implants are done abroad in places like Turkey, Hungary etc. Patients tell me they went abroad as it was ‘cheaper’ and the clinic ‘appeared to be successful’ quiet often, the problems can only be addressed by re-doing the whole treatment again. Whether it is abroad or closer to home, I always find that these implants have not been placed in the ideal anatomical positon for long term success.
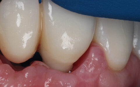
It is impossible to move a dental implant once it has been surgically placed, therefore, getting it right from the outset is key. The image below shows an implant placed elsewhere and the patient attended my clinic to ask if I could place a crown onto her implant as she was unable to travel back to the dentist that placed the implant in the first place. On it’s own, to the untrained eye, this just looks like any other dental implant….

At Infinity Dental Clinic we are dedicated to providing long term outcomes with our treatment. We are involved in dental education and we continue to strive for excellence in all of the treatments we provide.
Thank you for reading
Mohsin Patel
Related articles...
Book a Consultation
At Infinity Dental Clinic we see patients for routine dental check-ups with our dentists. Regular dental maintenance and good oral hygiene will ensure that you keep your teeth and gums healthy.
Book a Consultation
