I feel incredibly fortunate in my role as lead implant surgeon here at Infinity Dental Clinic, as I have the privilege of witnessing special moments like this while transforming smiles through dental implant treatments.
One such unforgettable journey that I was delighted to finish this week, is that of Marie, a primary school teacher whose story perfectly embodies the emotional and life-changing impact of restoring a smile.
Marie’s Story
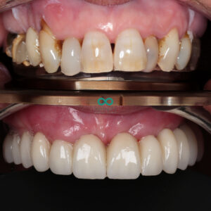
Marie came to us after years of struggling with her teeth. She had been going for her regular nhs dental check-ups but felt her teeth had slowly deteriorated. She had broken teeth and noticeable gaps, which deeply affected her confidence.
Marie told me she was incredibly self-conscious about her smile, avoiding social situations and struggling to eat comfortably. What made matters worse was her deep-rooted fear of the dentist—an anxiety we encounter in many of our new patients. She was nervous and had lost her confidence, coming to expect bad news every time she sat in the dental chair.
Finding the Right Solution
During her consultation process, we provided Marie with a full patient report outlining all her options. After discussing potential treatments in depth, she realised that same-day teeth with dental implants were the answer she had been hoping for. The thought of leaving the clinic with a brand-new smile in just one day gave her a sense of hope she hadn’t felt in years.
A New Smile in Just One Day
On the morning of her treatment, Marie arrived at Infinity Dental Clinic filled with nerves but also a sense of excitement and determination. Under IV sedation, we removed her upper teeth, placed the implants, and fitted her with her new fixed teeth—all in a single visit. By lunchtime, Marie walked out of the clinic with a beautifully transformed smile.
I’ll never forget the moment her husband, Mark, arrived to pick her up. The look on his face said it all. He gave Marie a big kiss and told her she looked beautiful. It was a very emotional moment, one that reminded us all why we do what we do.
A Transformation That Speaks for Itself
Since that day, Marie has had her final set of teeth fitted, and the results are stunning. She now smiles confidently, eats without discomfort, and no longer fears her dental visits.
What makes Marie’s story even more special is that she has told me that she was inspired by others who had shared their own Infinity Dental Clinic journeys. Watching testimonials from previous patients gave her the courage to take this step. Now, she wants to do the same for others. She has volunteered to share her experience, hoping to reassure anyone who feels the way she once did that choosing Infinity Dental Clinic means being in safe and caring hands.
Marie’s journey is a testament to the power of modern dentistry and the life-changing impact of dental implants. If you’re struggling with similar concerns and wondering whether you should take that step, let Marie’s story be your reassurance. At Infinity Dental Clinic, we are committed to providing not just exceptional dental care but also unwavering support throughout your journey to a confident smile.
Are you ready to transform your smile? Contact us today to find out how we can help you, just as we helped Marie.
Thank you for reading,
Mohsin Patel BDS MJDF RCS (Eng)
Lead Implant Surgeon
Related articles...
Book a Consultation
At Infinity Dental Clinic we see patients for routine dental check-ups with our dentists. Regular dental maintenance and good oral hygiene will ensure that you keep your teeth and gums healthy.
Book a Consultation


