At Infinity Dental Clinic, we take immense pride in offering advanced dental treatments that not only restore oral health but also change lives. Yesterday, I had the privilege of helping a wonderful patient rediscover her smile, confidence, and quality of life with our same-day teeth approach. As the lead implant surgeon, it’s always deeply rewarding to witness the transformative power of this remarkable treatment.
Let me share the details of this special case and how it reflects our commitment to providing exceptional, personalised care.
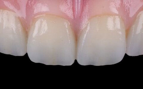
A Complete Smile Transformation in a Single Day
Our patient came to us with failing teeth in both her upper and lower arches. She had endured discomfort, reduced functionality, and the emotional toll of a smile she no longer felt confident in. After a thorough consultation and assessment, we recommended a full-mouth restoration using the all-on-6 dental implant technique for both arches.
Thanks to our same-day teeth approach, we were able to remove her failing teeth, place the implants, and fit a set of fixed provisional teeth—all in one appointment. This minimised disruption to her daily life, enabling her to leave the clinic with a functional, beautiful smile that very same day.
Why We Chose All-on-6 for Her Treatment
To ensure the best possible outcome, we used the all-on-6 dental implant solution, which involves strategically placing six implants in each arch to provide robust support for her fixed prosthetics.
- Long-Term Stability: The placement of six implants ensures excellent structural integrity, providing her new teeth with the durability needed for long-term success.
- Restored Functionality: With her new teeth securely fixed, she can now enjoy eating her favourite foods without hesitation. Everyday functions such as speaking, eating, and smiling have been fully restored, significantly improving her quality of life.
Designing a Smile That Looks and Feels Natural
What makes this case truly remarkable is the level of care and precision we applied to designing her new smile. We utilised biometric smile libraries, a cutting-edge technology that allows us to create a smile perfectly suited to her natural facial features, lips, and expressions.
This approach ensures that her new smile looks completely natural and avoids the “fake” or overly artificial appearance some patients fear. The result? A stunning, yet authentic smile that feels like it has always belonged to her.
By tailoring her new teeth to complement her unique anatomy, we gave her not just a functional set of teeth but also a smile that is beautifully personal and unmistakably her own.
A Life-Changing Transformation
The transformation was truly life-changing. When our patient looked in the mirror for the first time after the procedure, her reaction was priceless—a mix of joy, disbelief, and sheer delight at seeing her dream smile realised.
Her new smile has given her the confidence to embrace life to the fullest. Beyond the aesthetic improvements, she can now enjoy everyday pleasures such as eating, laughing, and socialising without discomfort or self-consciousness.
Why This Case Matters So Much to Me
As the lead implant surgeon, cases like this remind me why I am so passionate about my work. Transforming smiles is about much more than teeth—it’s about restoring confidence, dignity, and freedom.
At Infinity Dental Clinic, I am privileged to work with a dedicated team who share my commitment to excellence. From the initial consultation to the final result, our focus is always on providing the highest standard of care in a supportive, welcoming environment.
Your Smile Transformation Awaits
If you are struggling with failing teeth or considering a smile makeover, I encourage you to take the first step. At Infinity Dental Clinic, we offer a range of cutting-edge solutions tailored to your individual needs, including our same-day teeth approach and all-on-6 dental implants.
Imagine walking into our clinic and leaving with a functional, natural-looking smile that transforms your life. With our expertise, advanced technology, and personalised care, we can make that a reality for you—just as we did for our patient yesterday.
Let us help you achieve the smile you deserve. Contact us today to book your consultation and start your journey towards a brighter, more confident future.
At Infinity Dental Clinic, we don’t just restore teeth—we restore lives. We look forward to helping you transform yours.
Thank you for reading,
Dr Mohsin Patel BDS MJDF RCS (Eng)
Related articles...
Book a Consultation
At Infinity Dental Clinic we see patients for routine dental check-ups with our dentists. Regular dental maintenance and good oral hygiene will ensure that you keep your teeth and gums healthy.
Book a Consultation


