When most people think about dental implants, their focus is on the tooth itself—how strong it’ll be, how natural it will look, how long it will last. What they often overlook is the one factor that quietly determines whether that implant will truly feel and look natural: the gums.
At Infinity Dental Clinic, gum shaping isn’t just a detail—it’s a cornerstone of our implant work. In fact, we dedicate an enormous amount of our planning, time, and expertise to managing and shaping the gum tissue. Why? Because replicating the natural gum contour is one of the most difficult—but most critical—parts of replacing missing teeth, especially in the aesthetic zone.
It’s Not Just a Tooth—It’s the Frame Around It
Natural gums aren’t just there for support. They define the way a tooth emerges from the gum line. If that shape isn’t right, no matter how beautiful the ceramic crown is, the final result can look artificial or even unfinished. This is especially obvious at the front of the mouth, where small differences stand out.
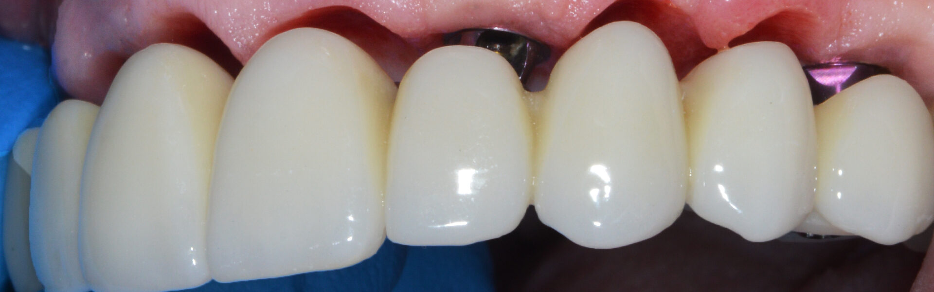
One of the main issues we see when gum shaping is neglected is the formation of “black triangles”—those dark spaces between teeth that appear when the papilla (the small gum peak between the teeth) doesn’t fill in properly. These gaps don’t just affect aesthetics—they’re a trap for food and bacteria, which over time can compromise gum health and the implant itself.
Every Gum Line is Unique
We don’t take a one-size-fits-all approach. Every patient has a different gum biotype—some thick, some thin—and varying levels of keratinised tissue, the type of gum that provides stability around teeth. These differences mean that the strategy for shaping the gums has to be tailored for each individual.
Sometimes this involves soft-tissue grafting. Other times, we use a step-by-step approach where we manipulate the gum tissue using a temporary (prototype) implant crown. This crown isn’t just for aesthetics—it’s a tool. We modify its shape with composite in specific areas to apply gentle pressure on the surrounding gum. Over the course of days and weeks, the tissue gradually shifts, forming the precise curves and zeniths that match adjacent natural teeth.
This isn’t fast work. And that’s intentional. Rushing this part of the process almost always leads to compromised outcomes.
Making Six Implants Look Like Twelve Natural Teeth – Full Arch Treatment
One of the things I love most about this field is pushing what’s possible. With advanced gum shaping, we can make six dental implants look like a full arch of twelve natural teeth—each one with its own independent gum contour. This not only looks better but makes the final result easier to clean and healthier in the long run.
The Takeaway
Implant dentistry isn’t just about placing titanium into bone. It’s about restoring what was lost—function, confidence, and natural beauty. And that includes the gums. At Infinity Dental Clinic, we treat soft tissue management with the same precision and attention as every other part of the implant process.
If you’re considering implants, especially in the smile zone, don’t settle for less than natural. Because the details matter. And at our clinic, we never ignore the details.
Thank you for reading, Dr. Mohsin Patel
Related articles...
Book a Consultation
At Infinity Dental Clinic we see patients for routine dental check-ups with our dentists. Regular dental maintenance and good oral hygiene will ensure that you keep your teeth and gums healthy.
Book a Consultation


