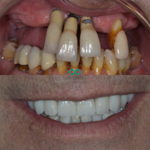
This patient attended our clinic with failing implants.
But it was not just ‘failing implants’. It was implants that had been in his mouth for over 10 years and had always been ‘failing’. They never felt great for the patient and they didn’t look like the teeth the patient wanted!
The reasons for this are plentiful however, to keep this brief it was mainly due to unsatisfactory implant positioning and an inferior type of implant to crown restoration. There was also evidence of a below standard plan with respect to this patient’s implant treatment in the past.
Despite all of the above, it is likely that the dentist who treated this patient did not mean for any of these outcomes. In fact, it is likely this may have simply been a result of a lack of experience or knowledge in this niche field of implant dentistry.
The patient came to see me after years of suffering with the outcomes of his previous treatment. He sought my help as he felt mine and our team’s experience would be able to restore his dental health. We provided a thorough plan which involved replacing his failing implants whilst restoring his bone and gum volume to ensure he had a long term outcome with his new implants. By planning using 3d CBCT scans and also, by using only the best implant system in Straumann, we ensured that this patient finally had the teeth he always wanted.

He stated that he had wished he came to see us sooner. We see this so often with so many patients. Implant dentistry is a unique type of dentistry that is best performed by surgeons who are vastly experienced and educated in this field of dentistry. Cutting corners and doing things too quickly or too cheap often results in serious problems – whether it’s in a year or in 10 years – the problems do arrive. For this reason the time and care we take from the outset will always be worth it for you.
That is our promise to all of our patients at Infinity Dental Clinic. We will never compromise on your care and that is why we provide the guarantees that we do for all of our patient’s dental implant treatments.
Thank you for reading
Mohsin Patel
Related articles...
Book a Consultation
At Infinity Dental Clinic we see patients for routine dental check-ups with our dentists. Regular dental maintenance and good oral hygiene will ensure that you keep your teeth and gums healthy.
Book a Consultation

