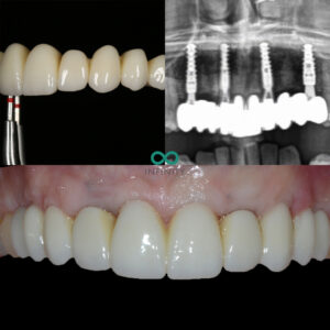
I completed the treatment for our patient this week to replace almost all of her upper teeth. She presented to our clinic with most of her upper teeth failing due to advanced periodontal disease. This is a severe form of gum disease that had resulted in significant bone loss which resulted in these teeth becoming loose.
After a thorough clinical and CBCT scanning assessment we provided the patient with the option to have her failing teeth replaced with 4 dental implants and a permanent implant supported bridge. We also recommended a bone and gum graft to ensure that the damage done by her periodontal disease could be restored to build a stronger foundation for her dental implants.

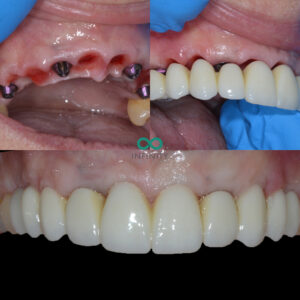
During the treatment we provided our patient with fixed teeth from the very beginning of her treatment plan. She never spent any time without teeth. In fact, on the very same day that she had her teeth removed, we provided her with fixed dental implant supported teeth.
Dental implants, gums and bone grafts all take on average 3-6 months to fully stabilise after healing. This means it can take upto 6 months to provide a perfectly fitting set of teeth to the dental implants. During this time however, our patient continued to wear her initial implant supported teeth meaning she still had a lovely smile and could chew properly during this treatment time.

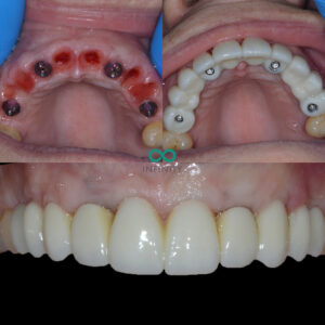
After the 6 months had passed, we carefully sculpted her gum line with all the volumous gum graft that had now worked and fully healed. The contours we had created were carefully designed to mimic her natural smile design that we planned using our digital smile desgin programmes. Following this careful gum sculpting process, we made a truly bespoke implant bridge that looked and felt as natural as is possible. The patient was delighted and we were especially proud of the fit between the gums and the implant teeth. That new gum line was healthy, natural and therefore very easy for the patient to clean and maintain daily with a normal electric toothbrush.
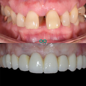
That is the thing with gum contouring – it enables us to provide natural teeth. Natural is important because it often means it will last longer and be more ‘natural’ to maintain too.
Another truly life changing smile. Another smile that just looks normal!

Thank you for reading,
Mohsin Patel BDS MJDF RCS (Eng)
Related articles...
Book a Consultation
At Infinity Dental Clinic we see patients for routine dental check-ups with our dentists. Regular dental maintenance and good oral hygiene will ensure that you keep your teeth and gums healthy.
Book a Consultation


