Full Arch Same Day Dental Implants
UK’s No.1 Provider of Same Day Teeth

At Infinity Dental Clinic, we specialise in transformative dental implant solutions – even if your own dentist has said implants aren’t suitable for you.
Never be without teeth with our Same Day Dental Implant approach using All-on-four or All-on-Six with Straumann Dental Implants.
At Infinity Dental Clinic, we are proud to be recognised as the UK’s No.1 provider of Straumann Dental Implants – the world’s leading premium dental implant system.
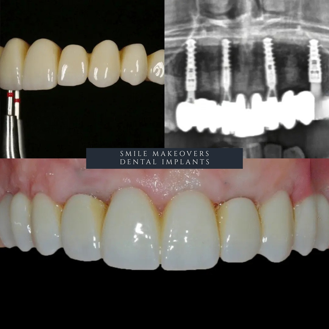
All of our restorations are made at our industry leading in-house dental laboratory ensuring we have full control over the quality of our dental prostheses. This means you can have your teeth fitted the same day, so you won’t spend any time without them!
BITE, CHEW, SPEAK, AND LAUGH WITH CONFIDENCE
Your Smile on Your Schedule
No need to wait for a call – book your consultation instantly from your phone, tablet, or laptop, whether you’re on the go or relaxing at home.
FIXED DENTAL IMPLANTS TO SAME DAY TEETH
Looking For Something Specific?
Dental implants are a revolutionary solution that not only look natural but also function like real teeth. If you’re looking to restore your smile, you can even opt for a complete set of fixed dental implants. Options like Same Day Implant Teeth with All-on-Four or All-on-Six, as well as implant-retained dentures, make it possible to replace all your teeth efficiently and effectively.
WHAT ARE DENTAL IMPLANTS
And Same Day Teeth?
At Infinity Dental Clinic, in Leeds and Harrogate, we offer fixed Dental Implant replacement teeth using the world’s leading and most well researched dental implant system, Straumann®. You will be able to bite, chew, speak and laugh as you did with your natural healthy teeth.
Finally eat the foods you’ve always wanted, smile with confidence, and regain your confidence with the smile you have always dreamed of.
Book your consultation today and take the first step towards a lasting, confident smile with Infinity Dental Clinic.
1. Experts in Full Mouth & Single Implants
Led by Dr. Mohsin Patel, one of the UK’s top implant specialists, our team provides customised dental implant solutions tailored to your unique needs. We understand that “one size does not fit all,” and we’re here to ensure you get the best treatment for you.
2. Same-Day Transformations
Say goodbye to failing teeth and hello to a new smile—all in one day. We remove any failing teeth and replace them with a full set of beautiful, secure teeth, giving you a renewed smile immediately.
3. 0% Interest-Free Payment Options
We offer interest-free payment plans and flexible terms of up to 60 months, making it easier to achieve the treatment you deserve without financial stress.
4. No Need for Dentures
Has your dentist recommended dentures? We’ve helped thousands of patients avoid them, replacing missing or failing teeth with secure, full-arch solutions supported by 4-6 implants.
5. Considering Treatment Abroad?
Compare our expertise, advanced clinics, and competitive costs during your assessment—you may find Infinity Dental Clinic is the perfect choice for you, right here in the UK.
Full Arch Reconstructions
Our patients will never go without teeth at any time throughout the treatment process, due to our Same Day Teeth Dental Implant protocol. This treatment will provide our patients with a full set of replacement teeth that feel as close to healthy natural teeth as is possible in modern dentistry. The teeth are fully functional and comparable to natural teeth in almost every way. The benefits of having Dental Implants include:
- Replace loose dentures and missing teeth
- Maintain your bone structure following tooth loss.
- Function and feel like natural teeth.
- Improve the appearance of your smile.
- Improve chewing and speaking.
Preserves the health of your jawbones and surrounding dental and gum health.
Provides a long term permanent solution.
Dental Implants at Infinity Dental Clinic have the highest success rates in the UK.
Our team is led by Dr Mohsin Patel who lectures in the field of implantology and is actively involved in training fellow dental professionals in implant dentistry.
How Many Dental Implants Are Required
For Full Arch Reconstruction?
When considering replacing a full arch of teeth with dental implants there are often 2 main options. Patients can either opt to have a removable implant retained denture or a permanently fixed implant supported bridge (All-on-four or All-on-Six).
The implant retained denture option often requires 2 dental implants in the lower arch and 4 dental implants in the upper arch. The key to making this option work is to provide sufficient implant support for the denture to be stable in the mouth during function. The implant retained denture is removable and will exhibit slight movement at times however, in the main it is very stable and significantly more stable than a conventional denture without any implant support.
A fully fixed and permanent implant supported bridge is what many patients opt for if they do not want to have removable teeth. In most cases, this option can utilise between 4-6 dental implants.
All-on-four or All-on-Six. The number of dental implants required will be based upon many local and anatomical factors.
THE STAGES OF
Full Arch Same Day Teeth
At Infinity Dental Clinic, we use the latest, state-of-the-art digital scanners to provide our patients with the highest standards of dental care. Our in-house CBCT scanner also enables us to meticulously plan your treatment to increase accuracy and reduce treatment times.
Our team is very passionate and dedicated in providing the highest standards in Implant dentistry. Book a consultation, and let’s explore how our dental implant solutions can give you the confidence to smile without hesitation.
Here’s why Infinity Dental Clinic is the right choice for you:
Transform Your Smile in One Day with Same Day Dental Implants
With our Same Day Teeth on Dental Implants, you can walk out with a complete, renewed smile in just one visit—no delays or multiple appointments needed. Our All-on-Four and All-on-Six techniques provide a life-changing solution for those seeking a full-arch restoration using our same day dental implants approach. Enjoy the comfort and confidence of a stable, natural-looking smile that lets you eat, speak, and smile freely.
Secure, Same-Day Full-Arch Dental Implants in Leeds
Say goodbye to failing teeth and hello to a new smile—all in one day. We remove any failing teeth and replace them with a full set of beautiful, secure teeth, giving you a renewed smile immediately.
Natural-Looking, Long-Lasting Dental Implant Solutions Tailored to You
At Infinity Dental Clinic, we believe everyone deserves a beautiful, comfortable smile. If missing teeth or uncomfortable dentures are holding you back, our advanced dental implants offer a lasting, natural-looking solution tailored just for you.
Are You a Candidate for Full Arch Dental Implants?
You may be the perfect candidate for dental implants if you:
Have multiple missing or damaged teeth
Struggle with uncomfortable dentures
Want a permanent, beautiful smile
At Infinity Dental Clinic, we use the latest, state-of-the-art digital scanners to provide our patients with the highest standards of dental care. Our in-house CBCT scanner also enables us to meticulously plan your treatment to increase accuracy and reduce treatment times.
Our team is very passionate and dedicated in providing the highest standards in Implant dentistry.
-
During your consultation we will evaluate your suitability for treatment using a thorough clinical assessment and a CBCT scan to analyse your bone volume and anatomy. If this is favourable then immediate full arch Same Day Dental Implant Teeth can be considered as an effective treatment option with All-on-four or All-on-Six. If this is not possible then the alternative pathways to provide a similar restorative solution would be offered such as ‘Implant Retained Dentures’ or ‘Conventional Fixed Full Arch Dental Implants’.
-
The models of your mouth will be used to make a bespoke surgical stent. This will be used by our Dental Implant team during Implant placement to ensure each individual Dental Implant is carefully placed in the optimum position relative to the proposed final teeth.
-
The treatment to provide the Dental Implants and the immediate replacement teeth can be performed on the same day. The treatment would usually commence at 8.00am and be completed by 2.00pm. Throughout the treatment, our patients may choose to be sedated and are therefore relaxed and comfortable. We work closely with experienced dental technicians, who specialise in making natural Same Day Teeth for Dental Implants. The new implant supported teeth will be made specifically to suit your mouth and face shape.
-
Dental Implants can take between 3-6 months to integrate with the underlying bone in full arch cases. You should expect to feel no pain during this period and your immediate fixed teeth will continue to be functional and fixed during this secondary healing period.
-
Once fully integrated, the Dental Implants are ready to have the final teeth fitted to it. This process enables us to simply replace your initial ‘Same-Day Dental Implant Teeth’ with a permanent final full arch of teeth. Although the same day teeth are fixed and usable, they are ‘prototype teeth’. The full integration of the dental implants and gum healing will take approximately 6 months. For this reason, the ‘final’ permanent teeth are made at this stage. At this appointment we simply replace the initial teeth with the final teeth. This is a simple appointment that does not require any further surgery. The final teeth will be made with all the relevant surface textures, sizes and shades that our patients have chosen for their definitive final smile appearance.
All of our dental restorations are made at our industry leading in-house dental laboratory ensuring we have full control over the quality of our dental prostheses. Our dental laboratory is equipped with the latest technology to produce the highest standards in dental restorations. Each restoration is individually made to ensure no two smiles ever look the same – it truly is customised for every patient.
What are Dental Implants?
Looking for a natural, permanent solution to missing teeth? Explore our dedicated page on Fixed Dental Implants for all the details you need.
Dental implants are the closest you can get to restoring the look, feel, and function of your natural teeth. Whether you’re dealing with loose dentures, missing teeth, or are facing the loss of a tooth, dental implants provide a long-lasting solution that can transform your smile – and your confidence.
Unlike dentures, dental implants are securely fixed in place, offering stability and comfort without the need for removal. Say goodbye to slipping dentures and hello to a worry-free smile that looks and feels like your own.
Ready to reclaim your confidence and enjoy life to the fullest? Learn more about how dental implants can make all the difference today!
And Start Your Own Success Story
At Infinity Dental Clinic, Dr. Mohsin Patel isn’t just a practitioner; he’s a leader and educator in implant dentistry.
His commitment to excellence extends beyond his own practice, Dr. Patel actively teaches and mentors other dental professionals, sharing his deep expertise and passion for delivering outstanding patient care.
Dedicated to staying at the forefront of medical, surgical, and technological advancements, Dr. Patel ensures that every implant treatment reflects the latest in innovative, precise, and patient-focused care. When you choose Infinity Dental Clinic, you’re not only receiving top-quality treatment but also the expertise of a dentist shaping the future of implant dentistry. Book your consultation with us and experience the difference.
-
Same Day Dental Implant treatment is carried out under local anaesthesia and so we will ensure that you will not be able to feel any pain throughout the appointment. There are no nerves in the anatomical areas where the implants will be placed, unlike when treating teeth, therefore many patients find it a lot more comfortable than other dental treatments. If patients are worried about the procedure, it can also be carried out under sedation. We will be there for you through every step of the way.
-
With this particular treatment option, the initial treatment can all be provided on the same day. Both the Dental Implants and the immediate replacement teeth can be fitted at the same time. The treatment would usually commence at 8.00am and can often be completed by around 2.00pm. Throughout the treatment our patients may choose to be sedated for a more relaxed and comfortable experience.
By the end of the day, our patients will leave with a full arch of fixed dental implant teeth to provide a functional and aesthetic smile.Although these initial teeth are fixed in place and will still be aesthetic, they are ‘prototype teeth’, which are designed to last until the final restoration. The full integration of the dental implants and gum healing will take approximately 6 months. For this reason, the ‘final’ permanent teeth are made after 6 months. At this stage we simply replace the initial teeth with the final teeth. This is a simple appointment that does not require any further surgery.
-
Here at Infinity Dental Clinic we work hard to find a solution that meets all our patients expectations on desired outcome both clinically and financially. We will supply you with all relevant treatment options and the associated prices involved, allowing you to make the right decision for you regarding your dental implant care. For guidance on fees, please use this link to our fee and finance page.We will provide you with a bespoke dental report. This will consist of an overview of your current dental condition and all of the treatment options available. We understand that this is a big decision and that is why we want to give you the time to consider the information. Our team will be available to answer all of your questions.
Dr Mohsin Patel
Visit us at our Leeds Dental Clinic
Located just minutes from Leeds city centre, our state-of-the-art dental clinic offers a full range of general and advanced treatments, including dental implants, cosmetic dentistry, and same-day smile makeovers. With on-site parking and a calm, modern environment, Infinity Dental Clinic in Leeds is designed around your comfort and care.

Visit us at our Harrogate Dental Suite
Our Harrogate Dental Suite delivers the same premium care in a beautifully private setting. Nestled in the heart of Harrogate, this location offers discreet, one-to-one appointments in a relaxed and luxurious environment — ideal for those seeking dental implants or bespoke cosmetic treatments in total comfort.

Talk to us
"*" indicates required fields










