Dentures Leeds
Dentures – what they are used for?
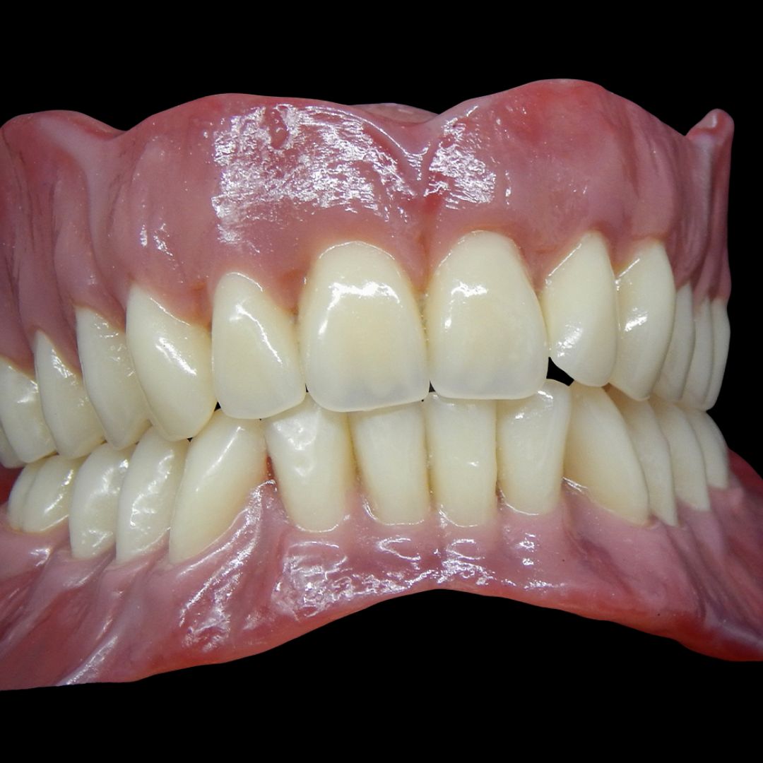
Dentures provide one of the replacement options for missing teeth, often known as ‘false teeth’ or a ‘plate’. They are usually made from acrylic, sometimes in combination with a metal framework. Complete dentures replace a full set of missing teeth, whereas partial dentures work in combination with natural teeth.
Know your options…
At Infinity Dental Clinic we use the latest and most state of the art technology to provide our patients with the highest standards of care in Cosmetic Dentistry. We will make sure you are aware of all the available options to replace your missing teeth.
There are several types of dentures available, each designed to suit different clinical needs, levels of support and aesthetic preferences. From advanced implant retained dentures to lightweight metal frameworks and flexible partial options, we will help you choose the solution that feels most comfortable, secure and natural for your smile.
Implant Retained Dentures
By placing a small number of dental implants, it is possible to secure a denture in place, without the need to use fixative. This type of denture is the most secure.
Cobalt Chrome (Metal) Dentures
Compressed Acrylic Dentures
High quality material with improved retention and a more natural, bespoke appearance.
Flexible Valplast® Dentures
These are flexible partial dentures. They mould between the teeth and gums avoiding the need for metal clasps or full coverage of the palate. These dentures are usually very well fitting.
Do you suffer from loose dentures?
It takes on average four appointments to construct your denture. This will include impressions, a ‘try in’ stage, and when you are happy, the final fit. Each stage will be explained to you by your Dentist.
Do you suffer from loose dentures?
Implant retained dentures are an alternative to standard removable dentures.
Implant retained dentures are ideal for anyone suffering from loose or ill fitting dentures and can be life changing. They offer peace of mind so you can avoid embarrassing situations where your removable denture may let you down. They are a cost effective way of replacing multiple missing teeth compared to a full set of dental implants.
Denture prices in Leeds and Harrogate
Here at Infinity Dental Clinic we work hard to find a solution that meets all our patients’ expectations on desired outcome both clinically and financially. We will supply you with all relevant treatment options and the associated prices involved, allowing you to make the right decision for you regarding your dental care.
We also offer a range of finance options which can be discussed with our experienced treatment coordinators to help you spread the investment in a manageable way.
Visit us at our Leeds Dental Clinic
Located just minutes from Leeds city centre, our state-of-the-art dental clinic offers a full range of general and advanced treatments, including dental implants, cosmetic dentistry, and same-day smile makeovers. With on-site parking and a calm, modern environment, Infinity Dental Clinic in Leeds is designed around your comfort and care.

Visit us at our Harrogate Dental Suite
Our Harrogate Dental Suite delivers the same premium care in a beautifully private setting. Nestled in the heart of Harrogate, this location offers discreet, one-to-one appointments in a relaxed and luxurious environment — ideal for those seeking dental implants or bespoke cosmetic treatments in total comfort.

Talk to us
"*" indicates required fields










