In this blog I will take you through the stages of how we replaced the front 6 failing/ missing teeth for this patient using 4 dental implants and 6 implant supported teeth.
This patient attended our clinic with missing teeth at the front of his mouth which was serverely affecting his ability to smile with confidence. He was finding that he was not smiling in public and would ‘shy away’ from having his picture taken. This was having a detrimental effect on his social and work life – his overall welbeing was affected by this.
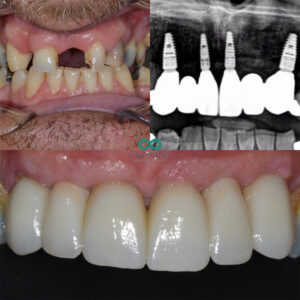
When he attended our clinic for the first time, we provided a thorough assessment utilising 3-d scanning and CBCT radiography to provide him with a thorough treatment plan with options. We found that some of the remaining teeth at the front of his mouth were also very heavily restored and has pathology associated with them. It was best if we replaced the front 6 teeth to ensure we provided a long term and stable solution for our patient. The patient was keen to pursue this approach.
The front six (anterior) were replaced with 4 dental implants that were strategically placed in the Upper right canine, upper right cental incisor, upper left central incisor and upper left canine regions. This would allow us to fit 6 replacement teeth onto the 4 dental implants whilst still maintaining the ‘individual’ look of the 6 teeth when completed. In this case we opted to place 4 dental implants rather than 6 individual dental implants. The reasons for this were firstly to preserve bone integrity. By only placing 4 dental implants we are able to preserve more bone between the dental implants that will prove vital for long term ridge strength and stability. Another benefit of only using 4 dental implants is that we can ‘splint’ the implants together in the form of a ‘bridge’. This provides a bracing effect which enhances the strength of the replacement teeth and implants significantly in the long term.
The dental implant placements were carefully planned and placed using the CBCT radiograph. The CT scan enables our team to make every surgery safe and maximise the anatomy of each patient to place the dental implants in the optimum position. This is key to providing natural looking teeth that stand the test of time! We also provided bone grafting and gum grafting during the implant surgery to enahce the volume and strength of the bone and gums which are vital for long term success.
Following the placement of the dental implants our laboratory team at Dentogenics designed and milled the teeth in accordance with the patient’s natural facial and smile design. The video below shows how these teeth were made using state of the art design, milling and manufacturing to ensure these teeth are as bespoke to this patient as is possible.
Fitting teeth that are this well made is so easy for me. The joy we get when fitting such well made bespoke teeth to our patient’s dental implants and teeth is indescribable. The patient himself had tears of joy, as did his wife. Working with such a world class surgical, clinical and technical team makes my job the best in the world.
Thank you to all of our patients and our team!
Mohsin Patel
Related articles...
Book a Consultation
At Infinity Dental Clinic we see patients for routine dental check-ups with our dentists. Regular dental maintenance and good oral hygiene will ensure that you keep your teeth and gums healthy.
Book a Consultation

