Here at Infinity Dental Clinic, we provide life-changing full arch Dental Implant treatments. This is the ideal solution for those who require all of their teeth replacing at the same time. We provide the revolutionary Same Day Teeth on dental implants approach.
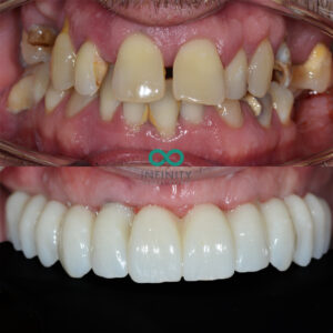
This patient attended our clinic wanting to pursue treatment to replace his failing and missing upper teeth. He was aware of the deteriorating problem over many years however, he was ‘hanging’ onto his teeth due to the fear of being without teeth. The fear of having to spend any time without teeth whilst undergoing treatment to replace teeth is somthing that often puts patient’s off undergoing the treatment they so dearly need.
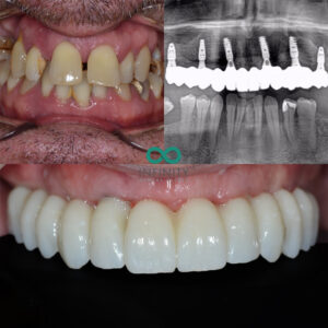
After a thorough assessment we planned a treatment process whereby this patient would never be without fixed teeth. Our CBCT assessment and 3-Dimensional simultations enabled us to predictably design and manufacture replacement teeth that would fit ‘perfectly’ into his mouth and conform to his ‘style’.
On the same day that he had his teeth removed, we placed bone grafts, gum grafts, dental implants and fitted the replacement teeth. All in the same day!

Following this day of treatment he already had a life changing smile. Over the following 6 months his bone and gum grafts continued to heal and then we simply replaced his ‘initial’ teeth with his ‘final’ teeth. the final teeth are a further improvement to his initial teeth, designed to be even more customised to ensure they stand the test of time.
This patient was able to undergo treatment that he so dearly needed without ever having to be without any of his teeth – truly life changing!
Thank you for reading,
Mohsin Patel
Related articles...
Book a Consultation
At Infinity Dental Clinic we see patients for routine dental check-ups with our dentists. Regular dental maintenance and good oral hygiene will ensure that you keep your teeth and gums healthy.
Book a Consultation
